Click on each image to enlarge and launch the slide show. To exist the slide show simply click outside of the image.
Index
- Miscellaneous References
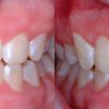
- Gum Disease Stages
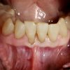
- Deep Cleaning/Scaling Moderate Gum Disease
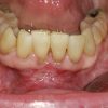
- Deep Cleaning/Scaling Advanced Gum Disease
- Osseous-Gum Surgery and Laser Treatment
- Bone Grafting around teeth
- Crown Lengthening
- Esthetic Crown Lengthening
- Gingivectomy for Gummy Smile
- Frenectomy
- Biological material
- Gum Recession and Grafting-Own Gum Tissue
- Gum Recession and Grafting-Allograft/Donated Gum Tissue
- Extraction and Socket Preservation-Upper Teeth
- Extraction and Socket Preservation-Lower Teeth
- Jaw Augmentation
- Rebuilding Collapsed Bone
- Sinus Collapse Stages
- Vertical Sinus Lift
- Lateral Sinus Lift
- Cone Beam 3D Dental CT “CBCT”
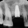
- Dental Implant 101
- Dental Implant Uncovery
- Dental Implant Bridges
- Digital Scanner and Digital Impressions
- Surgical Guides for Implants-Single Teeth
- Immediate Dental Implants
- Surgical Guides for Multiple Implants
- Snap On Dentures
- Fixed Dentures-All on 4, 5, or 6
Click on each image to enlarge and launch the slide show. To exist the slide show simply click outside of the image.
Index
- Miscellaneous References
- Gum Disease Stages
- Deep Cleaning/Scaling Moderate Gum Disease
- Deep Cleaning/Scaling Advanced Gum Disease
- Osseous-Gum Surgery and Laser Treatment
- Bone Grafting around teeth
- Crown Lengthening
- Esthetic Crown Lengthening
- Gingivectomy for Gummy Smile
- Frenectomy
- Biological material
- Gum Recession and Grafting-Own Gum Tissue
- Gum Recession and Grafting-Allograft/Donated Gum Tissue
- Extraction and Socket Preservation-Upper Teeth
- Extraction and Socket Preservation-Lower Teeth
- Jaw Augmentation
- Rebuilding Collapsed Bone
- Sinus Collapse Stages
- Vertical Sinus Lift
- Lateral Sinus Lift
- Cone Beam 3D Dental CT “CBCT”
- Dental Implant 101
- Dental Implant Uncovery
- Dental Implant Bridges
- Digital Scanner and Digital Impressions
- Surgical Guides for Implants-Single Teeth
- Immediate Dental Implants
- Surgical Guides for Multiple Implants
- Snap On Dentures
- Fixed Dentures-All on 4, 5, or 6





























































































































































































































