Immediate Dental Implants

Before the Dental Implant

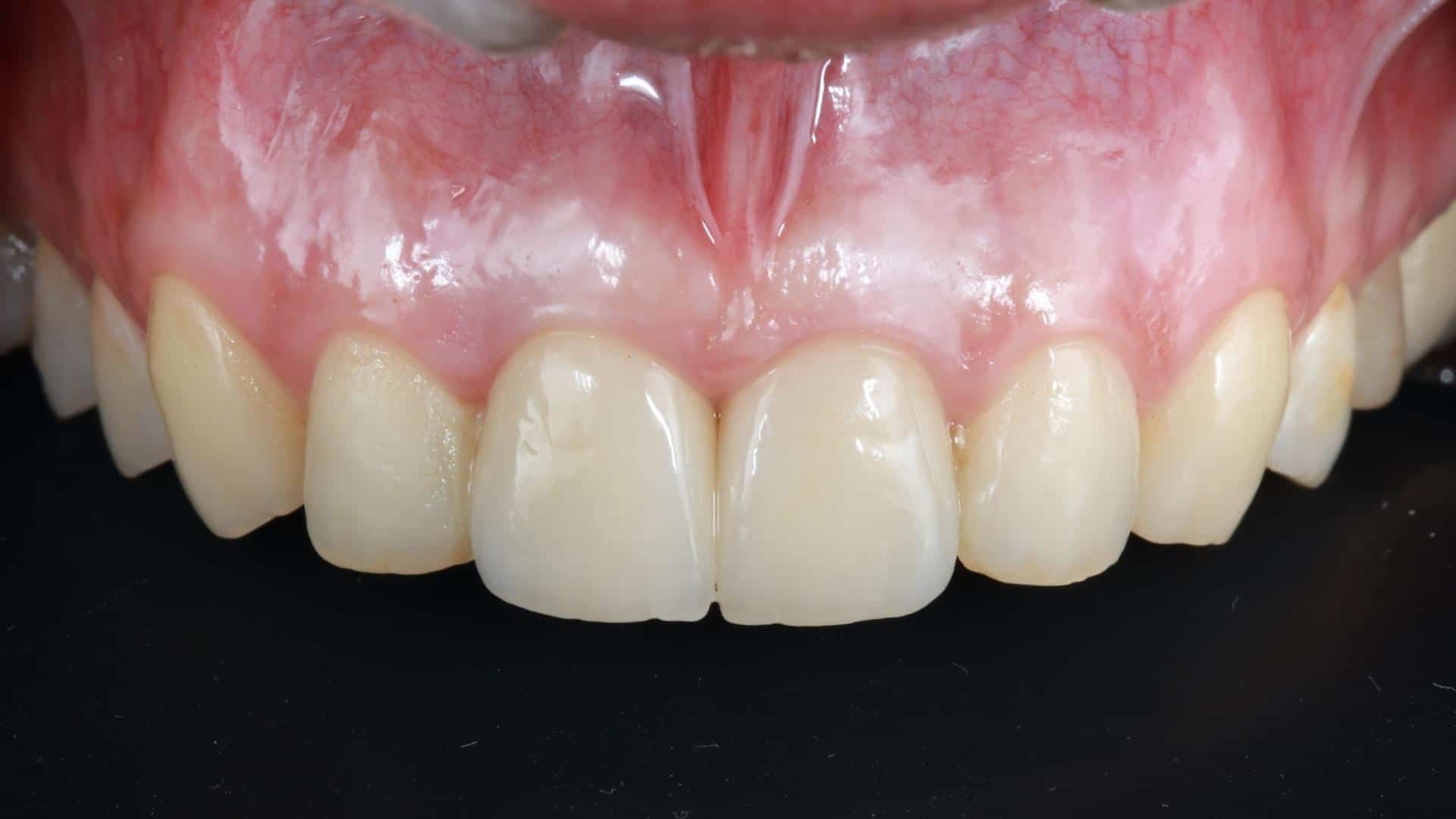
After the Dental Implant and Implant Crown

Before the Dental Implant

After the Dental Implant and Implant Crown
What is an Immediate Dental Implant?
An immediate dental implant is a dental implant that is placed in the jawbone immediately after a dental tooth extraction. It is usually placed at the same visit as the dental extraction. If a crown or dental bridge is placed on an immediate dental implant to restore the tooth, this is considered immediate loading. Immediate loading of an immediate dental implant is the most favorable option for any patient.
What is the Procedure for an Immediate Dental Implant?
Immediate dental implants are generally necessary due to a non-restorable fracture of a tooth. In some cases, there may be infection associated with the cracked or fractured tooth. The procedure begins with an exam, 2-D and 3-D x-rays. An immediate implant could normally be associated with adding bone around the implant (Bone at the time of implant placement) and covered with a resorbable membrane. The dental implant can then be placed in the same socket after the tooth is extracted and bone is added around the top of the implant (Images 1-4).
Key Advantages to an Immediate Dental Implant:
- Fixed tooth replacement that looks as good or better than the extracted tooth
- One dental surgery
- Helps preserve gum tissue
- No removable partial dentures or missing teeth
- No need to unnecessarily crown teeth for a bridge
- Less painful
Is an Immediate Dental Implant Safe?
Immediate dental implants, when done properly are extremely safe. Complications are few. Proper planning with 3D CBCT technology is critical by an experienced dentist such as Dr. Khoury who has performed this procedure many times before. Proper post-operative care and diet will ensure successful healing. Patients are instructed to not bite down on the newly implanted tooth for 3-4 months.
Pre-Surgical Appointment
A pre-surgical appointment is made to review the patient’s health condition as well as review all medications. Sedation options are discussed and planned – oral vs. IV sedation. Antibiotics, pain medication, sedatives, anti-inflammatories and mouth wash are prescribed with instructions. Any pre-operative study models that are needed are taken.
Dental Implant Surgery
The patient is generally well sedated with either oral or IV sedation. Just like any other procedure, a topical anesthetic is applied prior to local anesthesia administration (i.e. Novocaine). Additional impressions of the teeth are taken if necessary prior to the tooth extraction.
- The cracked, fractured or hopeless tooth is removed very carefully to minimize any damage to any surrounding bone.
- The extraction socket is inspected and cleaned carefully to make sure no infected tissue remains.
- The dental implant site is prepared and the dental implant is placed. If the implant is very stable, an immediate dental restoration (crown) may be attached to the dental implant.
- If the stability is low, a healing abutment is placed and Plan B is the alternative. Plan B usually means some sort of removable partial, bonded temporary or dental bridge is made to replace the tooth temporarily.
- Additional bone grafting may be necessary to fill the voids between the dental implant and the remainder of the extraction socket. In addition, a membrane, and soft-tissue graft may be used to protect the bone graft.
Implant in a Narrow Jaw
A dental implant is added after extraction in a narrow jaw where bone and a membrane are added on the outside of the dental implant where the jaw is narrow or collapsed







